TEL.048-987-2277
JR武蔵野線越谷レイクタウン駅北口 徒歩8分
埼玉県越谷市レイクタウン5-13-6
採用情報 お問い合わせ
道案内 担当医 医師 送迎

SOLIFAS 足の外科センター
開設に当たって

医師紹介

日本足の外科学会前理事長である大関覚医師の意思を継ぎ、日本足の外科学会理事 栃木祐樹医師をセンター長とし、日本足の外科学会評議委員 小川真人副院長、松本理沙医師の3名で診療に当っています。

大関覚医師が残した、整形外科医としての心構えと、足の外科医としての技術・知識を引き継ぎ、誠心誠意を尽くし、真摯に向き合う、診療を心掛けております。足の外科診療においては、その専門性の高さから、正確な診断が必要となります。

しかしながら、地域に足の外科医が少ないことが問題で、診断がつかない場合も多数あります。全ての患者様に対し手術加療を推奨するのではなく、診療の基本は保存加療(投薬、リハビリ、装具療法)と考えております。

装具療法に関しては、足底挿板を作成するにしても一人一人に適したものは異なり、義肢装具士と相談しながら担当医が適正と考えるものを提供できるよう心掛けています。

医師紹介 足の外科センターについて

SOLIFAS 足の外科センター
診療する症状と疾患

足の状態がよくないと感じたら、足の外科を専門的に診療している医師が在籍する医療機関に受診しましょう。

正確な診断ができることで患者様の状態に最適な治療を受けることができます。 また保存療法(リハビリや処方、装具など)、手術療法も最小限に抑えることも可能になります。

皆様の「足(足首~指先まで)」の健康を保ち、向上させるために、できるだけ早い段階で当足の外科センターにご相談ください。

手術室

SOLIFAS 足の外科センター
ご相談・診療の多い疾患について

SOLIFAS 足の外科センターが
診療する主な疾患

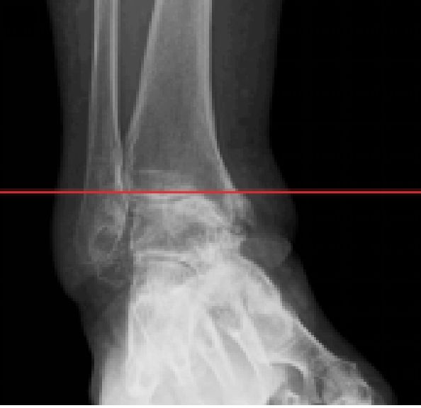
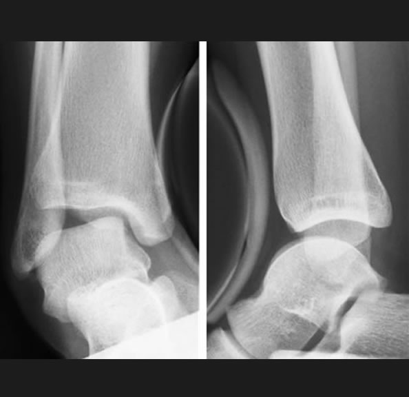
足首の痛みと変形 変形性足関節症、距骨壊死、距骨骨軟骨障害
かかと~足裏の痛みと変形 アキレス腱炎・腱周囲炎足底腱膜炎、足根管症候群
土踏まずと足背の痛みと変形 扁平足、有痛性外脛骨、リスフラン関節症
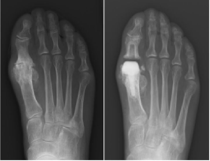
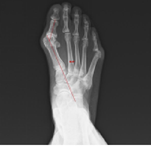
つま先の痛みと変形 外反母趾、強剛母趾、内反小趾、屈趾症、モートン病
新鮮骨折と遺残障害 足関節の果部骨折・脱臼骨折、踵骨関節内骨折、距骨骨折
新鮮靭帯損傷と遺残障害 足関節外側靭帯損傷、リスフラン靭帯損傷、足関節ねんざ後の遺残疼痛(足根洞症候群など)、距骨下関節不安定症
その他スポーツ障害・外傷 腓骨筋腱脱臼、アキレス腱断裂、シンスプリント、ジョーンズ骨折、フライバーグ病、舟状骨疲労骨折
神経麻痺に伴う足部障害 麻痺性内反足、尖足、凹足、下垂足
先天性の足部障害 内反足遺残変形、足根骨癒合症

SOLIFAS 足の外科センター
の外科的治療:症例

症例

保存療法では治療が見込めない患者様に対しては、人工足関節置換術、矯正骨切り術、遠位脛骨斜め骨切り術、関節固定術、血管柄付き腓骨移植、再建術などの外科的治療を提案をしております。

足の状態を正確に患者様とご家族・周囲の方と相談しながら、や患者様の背景に合った治療提供してまいります。

外科的治療:症例一覧