変形性足関節症は、関節表面の軟骨が長年かけて傷んですり減ってくるとともに炎症をくり返し、同時に関節周囲の骨の変形が進行して動きが悪くなってくる病気です。
主な原因は、加齢と使いすぎですが、生まれつきの関節変形(内向きの足首)も大きな要因となっており、骨折や靭帯損傷といった重症外傷も原因となります。また、若いころからねんざをくり返している方に起こりやすいのも特徴です。
症状は、初期には長時間歩行後の腫れや痛みや歩き始めの動かしづらさが主ですが、こうした症状は足首を休めれば通常軽快します。
しかし、関節変形の進行とともに、凸凹面を歩く際の不安定感や早歩きや階段・坂の歩きにくさなどが出現し、痛みや腫れも起こりやすくなって立っているだけの時や安静時の痛みが起こることもあります。
治療は、初期~中期では活動制限や痛み止め薬で炎症を落ち着かせるとともに、運動療法(足首周囲の筋力訓練など)や装具療法(サポーター装着やインソール作成)などの保存加療で対応しますが、痛みや機能障害の重症度によっては手術加療を行う場合があります。
変形性足関節症の手術療法
人工関節置換術
関節破壊(軟骨のすり減りや骨変形)が足首全体に及んでいるものの、関節全体としての変形は中等度にとどまり、比較的高齢で活動性が高くない方に適した手術法です。
破壊が進んだ関節の表面を切除し、人工関節(金属とプラスチックで作られた健常な関節に近い形状のインプラント)に置き換えます。
破壊された関節面に由来する痛みを除去するとともに、健常関節に近い動きの回復を目指す治療法で術後リハビリテーションの難易度が低く、回復の他の手術法より早いのも大きな利点です。
※自己治癒力のない人工物による関節再建であるため,術後活動には制限が残り,インプラントの破損やゆるみをチェックするための定期的な経過観察が必須です。

矯正骨切り術
関節症変化の進行に伴う軟骨のすり減りが内側部分にとどまり、比較的若年の活動性が高い方が対象となります。
レイクタウン整形外科病院の当センターでは、関節上部の骨の内側を斜めに切って外向きに開く矯正をかけ、開大部には骨盤から採取した骨をはめ込んで金属プレートする方法(脛骨遠位斜め骨切り術:DTOO)を採用しており、この処置によって軟骨がすり減へった内側部に集中している負担を比較的に健常な外側部逃がしてやるとともに、横方向の関節安定性を改善させて、炎症に伴う痛みや腫れが起こりにくい関節構造の回復を目指します。
骨切り部の確実な癒合得るための荷重制限(松葉杖保護)や関節運動の回復訓練など術後リハビリが重要となり、術後回復にも時間がかかる手術法ですが、一旦骨癒合が完成すれば活動性の制限は少ないため、重労働を伴う職種やスポーツ活動の希望者にも適しています。

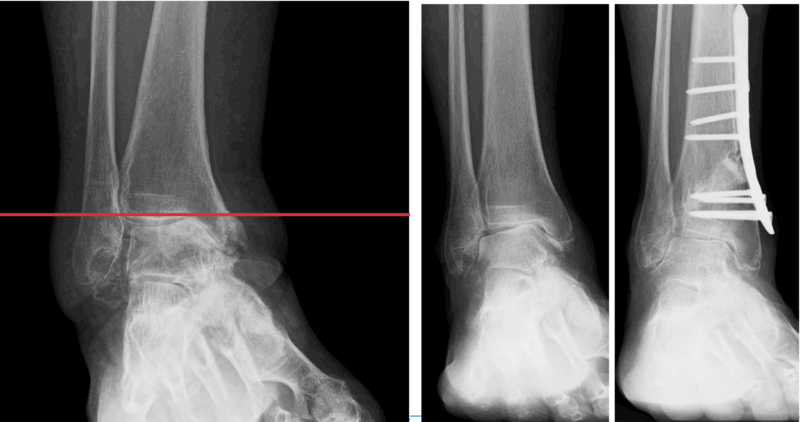
関節固定術
長らく変形性足関節症の標準術式とされてきた信頼性の高い手術法で、関節症変化の進行に伴う軟骨摩耗が関節全体に拡大した症例を主対象とします。
関節変形が比較的軽度な場合には、関節鏡を用いた小侵襲術式で行うことができます。
拡大術式を用いれば変形が高度な場合でも対応が可能です。
しっかりと骨癒合を得る必要があるため、比較的長期間(2~3か月)の外固定や荷重制限が必要となりますが、骨癒合が完成すれば確実な除痛が期待できます。また、術後耐久性が高いため、重労働を伴う職種や比較的若年の活動性が高い方にも適しています。
「足首が全く動かなくなってしまうのでは?」と不安に思う方もいらっしゃいますが、足関節の下方に隣接する距骨下関節の動きが良ければ、しゃがみ込みやつま先立ちといった動作も可能となり、日常生活上の不自由をあまり訴えない方も多いようです。
